¿TE SANGRAN LAS ENCÍAS?
Cuántas veces has exclamado esto, sobre todo cuando te lavas los dientes o comes una manzana!!
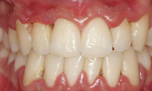
El sangrado de encías es el signo más evidente de que padecemos una gingivitis o inflamación de las encías, y es al forma menos severa de enfermedad periodontal. La prevalencia de la gingivitis se considera casi universal, comienza en la infancia, y adquiere su cota más alta en la pubertad.
Pero, ¿por qué se produce la gingivitis?
Dos son las causas: la placa dental (acumulación de bacterias sobre la superficie dental, donde pueden habitar más de 300 especies diferentes) y la reacción inmunológica e inflamatoria del individuo. El diario cuidado oral en casa, incluyendo un cepillado apropiado y el uso de hilo dental, es necesario para prevenir la acumulación de placa. Si no se remueve la placa, en menos de dos días se puede convertir en una sustancia dura, llamada cálculo o sarro. El sarro es tan duro, que sólo puede ser removido con una limpieza profesional.
En nuestra Clínica Dental Luna, gracias a nuestro equipo profesional y humano, te enseñamos a prevenir y combatir la gingivitis, controlando la placa bacteriana que se adhiere a la superficie del diente, mediante reveladores de placa, instruyéndote así en el correcto uso del cepillado y del hilo dental.
Si el cálculo se forma bajo las encías, hacia la raíz del diente, hace que la limpieza de la placa sea más difícil, dejándolo en riesgo de contraer la enfermedad periodontal, es decir en este caso, la gingivitis ha progresado hacia una periodontitis o ¨piorrea¨.
La periodontitis o ¨piorrea¨es una infección bacteriana, que provoca la destrucción de las fibras de adhesión y el hueso de soporte que mantiene los dientes en boca. Si esto sucede, las encías se separan de los dientes, formando bolsas que se llenan con más placa y más infección. Conforme avanza la enfermedad, estas bolsas se profundizan y se destruye más tejido y más hueso, y los dientes, por tanto, se van aflojando hasta que tienen que ser extraídos.
Pero, ¿cómo se puede frenar esta destrucción de los tejidos y hueso que rodean al diente?
En nuestra Clínica Dental Luna, realizamos raspados y alisados radiculares, en los casos de periodontitis leve o moderada, con el objetivo de eliminar la placa bacteriana y el cálculo que se encuentra bajo la encía y preparar una superficie radicular que permita el restablecimiento de la salud periodontal. Pero cuando la enfermedad está más avanzada, los raspados se consideran un tratamiento básico previo, de forma que realizamos además una cirugía periodontal, en los casos que fuera necesaria, con anestesia local y sin ningún tipo de dolor durante ni después del tratamiento.




